Ginjal
Ginjal (terdiri dari) :
Cortex
Saluran berkelok-kelok
Lobulasi ginjal
Fungsi
• Produksi & ekskresi urine
• Homeostasis air & elektrolit = keseimbangan asam basa
• Membentuk renin = hormon aldostheron
• Membentuk erithropoetin
GINJAL Ciri-Ciri
ØBentuk seperti kacang, bag cekung disebut hilus
ØDibungkus kapsula tipis
ØDianggap sbg kelenjar tubulus yang terdiri: Nephron & tubulus colligentes
lobus renalis = cortex + medulla
setekah pelvis -> ureter
a. renalis yang memberi darah kotpr
v. renalis menyalurkan darah bersih
Nefron (unit fungsional ginjal)
Terdiri:
ØGlomerulus (Corpusculum Renale)
ØCapsula Bowman (Corpusculum Renale)
ØTubulus Contortus Proximalis (TCI) ØHenle tebal descenden
ØHenle tipis
ØHenle tebal ascenden
ØTubulus Contortus Distalis
Corpusculum Renale
Mempunyai 2 ujung/pole:
- Polus Vascularis= Tempat arteriole aff & eff meninggalkan kapiler glomerulus
- Polus Urinarius= Tempat mulainya tubulus
pole = polus
sediaan : corpusculum renal; glomerulus, terdapat lobus urinaris dan lobus vascular
Pollus urinarius dekat macula densa
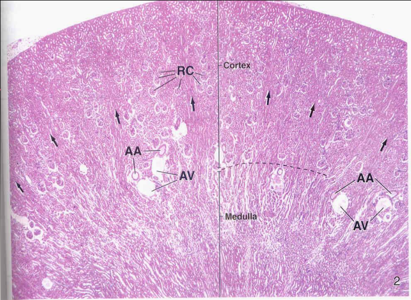
Ginjal (terdiri dari) :
• Cortex
• Medula
•Saluran Keluar urine
AA = Artery Arcuata
VA = Vena Arcuata
tanda panah = medullary rays
Cortex
Makroskopis
ØWarna gelap kecoklatan, tmpak bentukan bulat kecil (granula) Renal corpuscle & Tubulus
ØGaris-garis sejajar (Medullary Rays/ Processus- Ferreini) merupkan tonjolan tubulus
Mikroskopis
1. Capsula Bowman
Mempunyai dinding rangkap, yaitu
a. Lapisan Parietal (capsular epitelium) = luar
b. Lapisan visceral = dalam
Terdiri dr sel podocyte dengan tonjolan sitoplasma
Major/primary processus
Secondary foot like processus (PEDICELS)
2. Glomerulus
Massa jalinan kapiler yang terdiri:
ØVas Afferens ( Afferen arteriole)
ØVas Efferens ( Efferens arteriole)
Lobulus glomerulus:
1 klp jalinan kapiler dari 1 cabang utama vas afferens
3. Tubulus Contortus Proximalis
Saluran berkelok-kelok
Bagian nephron terpanjang & terlebar
Berawal dari Urinary-pole
Ciri-Ciri :
• Bentuk sel: kubis
• Batas sel tdk jelas
• Sitoplasma banyak, acidofilik
• Inti sel besar, pucat
• Punya mikro-villi (Brush-border)
4. Tubulus Contortus Distalis
• Terdapat pada cortex
• Berawal dari makula densa
• Berakhir dekat medulary-ray, masuk ductus colligentes
Ciri-ciri:
• Epitel selapis kubis
• Batas sel tidak jelas
• Sitoplasma pucat
• Jumlah inti banyak, tidak punya brush-border
5. Macula Densa
• Sel yg tersusun rapat, tampak deretan inti berwarna gelap
• Perbatasan Henle tebal ascending dengan T.C II
• Fungsi belum jelas
6. Urinary Pole
7. Vascular Pole
8. Arteria interlobularis
Mesangial sel
Stalk cell/ Intercapillary cell
Fungsi:
v Penyangga fisis
v Fagositosis agregat protein yang melekat
v Sekresi sitokin dan prostaglandin dan faktor lain
Juxta-Glomerular Cell (J.G. Cell)
• Modifikasi otot polos afferens arteriole sifat menyerupai epitel
• Letak: dekat makula densa ( awal TC II) • Fungsi: membentuk Renin
Lacis (Polkissen)
(Extra Glomerular Mesangial Cell)
• Letak: dekat juxta-glomerular cell, diantara afferens dan efferens arteriole
• Fungsi: membentuk erythropoietin
JUXTA-GLOMERULAR APPARATUS
Dibentuk oleh 3 macam struktur:
•Juxta-glomerular cell
•Macula densa
•Lacis (Polkissen)
Lobulasi ginjal
v Lobus Ginjal
1 piramid & bag cortex
v Lobulus Ginjal
bagian terkecil ginjal &
merupakan satu kesatuan fungsi
1 medullary rays pd bag tengah dng 1⁄2 bag cortex di kiri & kanannya sampai arteria & vena interlobularis
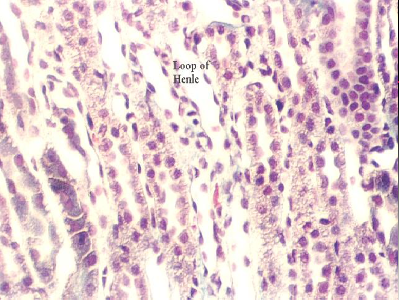
Medulla
Makroskopis
Terdiri dr bentukan segitiga MEDULLARY PYRAMID
Basis: batas tdk jelas krn ada medullary rays
Apex: Papilla Renalis bermuara ke Calyx minor
Mikroskopis
- Loop of Henle
- Henle Tebal Descending
- Sel lebih rendah daripada T.C. I
- Mitochondria lebih sedikit dan kecil daripada T.C. I
- Microvili lebih sedikit
- Fungsi: reabsorbsi air & NaCl
- HENLE TIPIS
- Henle tipis dari short-nephron lokasi: inner stripe medulla
- Henle tipis dari long-nephron
- meliputi bag descending, lengkung dan ascending
- Lokasi: sampai inner zone medulla, berbalik ke auter zone
- Epitel: pipih (mirip kapiler)
- HENLE TEBAL ASCENDING
- Berjalan menuju cortex
- Berakhir pd vascular pole,membentuk macula densa TCII
- Epitel: selapis kubis
- Batas sel tidak jelas
- Tidak ada brush border
- Collecting tubule (ductus colligentes)
- Bukan bagian nephron
- Terdapat di medullary rays
- Papillary Duct of Bellini
- Epitel selapis kubis – silindris
- Batas sel jelas
- Arteria interlobaris
Saluran keluar urin
Manusia
Papilla renalis -> Calyx minor -> calyx major-> pelvis renalis -> ureter
Klasifikasi Nephron
1. Berdasar Letak renal Corpuscle
a. Subcapsular/ Superficial Letak dekat capsul
b. Mid-Cortical Nephron Letak: bag tengah cortex
c. Juxta-medullary Nephron Letak: dekat medula
2. Berdasar Panjang Loop Of Henle
a. Short Nephron (Cortical Nephron) =
• Loop Of Henle sampai di medula luar
• Henle tipis pendek (descending)
• Renal corpuscle kecil
b. Long Nephron ( Juxta Medullary Nephron)
• Loop Of Henle sampai di bag dalam medula
• Henle tipis panjang ( ascending, lengkung & descending)
• Renal corpusle besar
Filtration Barrier = Struktur yg memisahkan darah dalam kapiler glomerulus dengan filtrat dalam kapsula bowman, terdiri dari :
1. Endotel kapiler
Endotel pipih, berlubang-lubang & tdk punya diafragma
2. Basal lamina kapiler
Filter utama
Fungsi: menghalangi molekul besar
3. Filtration Slit&Slit Membrane
Dibentuk oleh pedicel sel podocyt & ditutup slit membrane
Sirkulasi Ginjal
Pelvis Renalis
Terdiri 3 Lapis
1. Lapisan Mukosa
Epitel peralihan
Lamina Basalis
Lamina Propia
2. Lapisan Muskularis
Otot polos tipis sirkular & mengelilingi papila renalis
3. Lapisan Adventitia
Jar. Fibro elastis
Ureter
• MenembusVU dengan arah serong
• Bentuk lumen seperti bintang (lamina propia kendor& jar elastik, otot polos)
• Dinding tiga lapis;
Lapisan Mukosa
Epitel peralihan (4-6 lapis), lamina basalis & lamina propia
Lapisan Muskularis
Bagian atas : lap. dalam: longitudinal, luar sirkular
Bagian bawah : dalam : longitudinal, tengah sirkular; luar sirkular
Bagian atas tidak ada otot sirkular
Lapisan Adventitia
VESICA URINARIA
Dinding 3 lapis:
1. Lapisan Mukosa
v Terdiri dr epitel peralihan & lamina propia
v VU kosong: epitel 6-8 lps;VU terisi: epitel 2-3lps
v Lamina propia tebal
2. Lapisan Muskularis
3 lapis otot polos, bag tengah arah sirkular mrp lap tertebal, terutama bag SPHINCTER
3. Lapisan Adventitia
Terdiri jar. Fibro Elastic
Bag superior ditutup peritoneum



































Comments
Post a Comment